HOME ≫ 診療科目 ≫
予防診療
病気にさせない。
予防できるものは、早めに対処しておく。
当院はこのように考えています。
| 取り扱いワクチン | 犬:10種 6種混合ワクチン、狂犬病ワクチン 猫:4種 3種混合ワクチン |
|---|---|
| フィラリア予防 | 4-12月までが予防期間となります。 予防薬は錠剤、チュアブル、スポットオンタイプのご用意がございますので、 獣医師と相談の上、投与方法をご検討ください。 |
| ノミ、マダニ予防 | ノミ、ダニは通年での予防が必要となります。 数種類予防薬のご用意がありますので、ご相談ください。 |
健康診断
言葉を発せない動物達の病気を、見逃してしまう可能性があります。
健康診断は、特別な時間を設けて、動物の見えない部分を「診て」いきます。
総合的な血液検査、尿検査、便検査、レントゲン検査、超音波検査を行います全身麻酔の必要はなく、動物への負担も少ないです。
年齢や体調に合った検査項目をご提案します。
無駄な検査は行いません。
1年に一度、健康診断を行なってみてはいかがですか?
猫の診療
当院の獣医師・看護師は、猫の飼育経験があります。
些細な事でもご相談ください。
- がん治療
- 膀胱炎
- 尿管結石
- 慢性腎不全
- 心臓病
に対応しています。
猫伝染性腹膜炎(FIP)
当院では、モルヌピラビルの治療を行なっております。
困っている猫ちゃんの助けになれば幸いです。
内科(下痢・嘔吐)
食欲がない、吐く、下痢をする、このような症状に対応する診療科です。
これらの多くは、内服薬や食事治療だけで良くなる事が多いです。
なかには大きな病気が隠れている可能性もあります。
詳しい検査が必要と判断した場合には、精密検査を実施します。
もちろん、動物の負担や検査費用を考慮して行います。
外科・手術
当院で実施している手術例一覧
- 臍ヘルニア
- 鼠径ヘルニア
- 胃拡張胃捻転症候群
- 胃切開
- 腸切開/吻合術
- 肛門直腸脱
- 会陰ヘルニア
- 肝臓生検
- 胆嚢摘出術
- 食道/胃瘻チューブ設置
- 外鼻腔狭窄整復術
- 軟口蓋整復術
- 去勢手術
- 潜在精巣摘出術
- 避妊手術
- 子宮蓄膿症
- 帝王切開
- 膀胱切開
- 会陰尿道造瘻
- 眼球摘出
皮膚科、耳科
皮膚や耳の病気の多くは、見るだけでだいだいの診断がつくのですが、当院では検査を行なって、正確な診断を行います。
抗生物質、痒み止め、外用薬、シャンプー、スキンケアをご提案します。
ただし治りにくい皮膚病は注意が必要です。
診断に間違いがあるか、違う病気が隠れている可能性があります。
腎臓科
腎臓病は、初期に見つけてあげることが重要です。
このような症状がみられる場合には、当院にご相談ください。
- 水をよく飲むようになった
- 食欲がない
- 尿の量が多い/回数が多い
- よく吐く
- 痩せてきた/毛ヅヤが悪い
- 元気がない
- 1日あたりの正常な飲水量の目安
犬 : 体重1kgあたり 80ml
猫 : 体重1kgあたり 50ml
これ以上の飲水量だと、腎臓病の可能性があります。
病気の進行状況に応じた治療方法を、ご提案させていただきます。
循環器(心臓病)科
心臓病はある程度進行しないと、症状がありません。
このような症状はありませんか?
- よく咳をする、息切れする
- 最近運動をしたがらない
- 安静にしていても呼吸数が多い
- 呼吸が苦しそう
当院では聴診器で聴診をして、心臓病の早期発見に努めています。
心臓病の治療方法は、ここ10年で大きく変わり、長生きのできる病気になってきました。
動物にもご家族にとっても、負担の少ない治療方法を一緒に考えます。
眼科
眼が赤い、ショボショボする、目ヤニが多い場合には病気の可能性があります。
多くは眼の表面の異常で、簡単な検査と治療で良くなることがほとんどです。
眼の病気は油断すると、眼を気にしてこすってしまい、急激に悪化することがあります。
そのため、眼の異常に気づかれた場合には、なるべく早く動物病院に行くことをおすすめします。
当院では眼の表面の治療、治りにくい眼の病気に対応しています。
歯科
重度に歯石がついてしまった場合には、クリーニングする必要があります。
治療後は口臭が減り、ごはんの食べ方もよくなります。
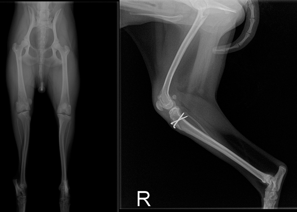
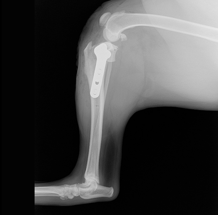
整形外科
まずは、「丁寧に触ること = 触診」 をして、痛みの部位を特定していきます。
レントゲン検査はしっかりと撮影します。
検査に麻酔は必要ありません。動物に負担のない検査です。
手術が本当に必要かどうか、どの手術方法が良いのか様々なご提案をさせていただきます。










0558-76-8111
