HOME ≫ がんの治療 ≫
当院のがん治療
当院では、がんの診断から治療まで、専門的な対応を行なっています。
- がんの種類を判別する細胞診は、その場ですぐに見て診断します
- 難しい手術や、様々な抗がん剤治療を受けることができます
- ホームドクターですので、費用の面も遠慮なくご相談ください
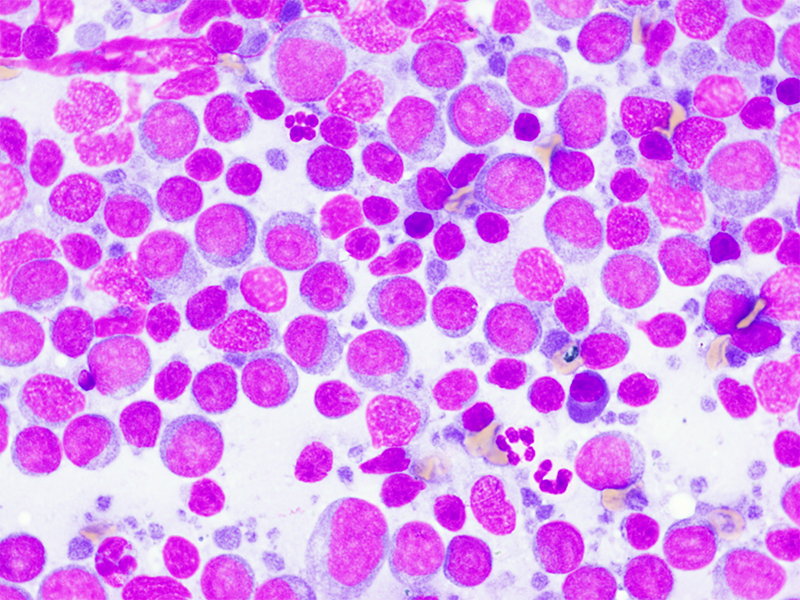
悪性リンパ腫
負担の少ない方法でがん細胞を採取し、院内ですぐに診断を行っています。
治療の中心は、抗がん剤治療になります。
この治療には「さじ加減」が必要です。
副作用の不安や疑問点があるのは当然です。一緒に考えます。
セカンドオピニオンも受け付けております。
乳腺腫瘍
まず、本当に切除するべきものなのか判別します。
時には手術せずに、増大傾向を見ていくことがあります。
犬の乳腺腫瘍は、適切な手術を行うことで、完治が望める腫瘍です。
一方、猫の乳腺腫瘍は、犬と比べて悪性度が高く、命に関わることがあります。
猫の胸部に「しこり」を見つけた場合には、お早めにご相談ください。
これら全てが犬の肥満細胞腫です。肥満細胞腫は見た目で判断できないので、皮膚にしこりを見つけたら、細胞診をすることが大切です。
血管肉腫
脾臓に発生するがんに、血管肉腫があります。
大きくなった腫瘍から出血して、はじめてその存在に気づくことが多いです。
治療は摘出手術ですが、その前に点滴や輸血など行って、状態を改善させることが重要です。
血管肉腫は悪性度が高いため、残念ながら手術後も追加治療が必要です。
諦めずに頑張る、苦しませない治療を心がけています。
組織球肉腫
組織球肉腫は、積極的な治療が必要です。
手術を行うのか?抗がん剤を投与するのか?その他の治療を優先して行うのか?
タイミングが重要なので、最短で最善の治療を行います。
この腫瘍は時に重度な貧血を起こすことがあります。
必要な場合には、当院で輸血治療を行います。
バーニーズマウンテンドック、フラットコーテッドレトリーバー、ウェルシュコーギーはこの腫瘍になりやすい事が分かっています。
扁平上皮癌
猫の扁平上皮癌
口の中に発生します。
口内炎のように見えることがあります。
早期に見つけて、手術で取り切ることが重要です。
-
口内炎のように見えることも -
塊を作ることも
犬の扁平上皮癌
口の中、指、鼻など様々な場所に発生します。
頑張って手術をすれば長生きができるがんです。
口の中、足の先をよく見てあげてください。
早めに見つけてあげる事がポイントです。
肛門嚢腺癌
肛門周りが腫れることがあります。
肛門腺の炎症、会陰ヘルニア、がんなどが原因です。
肛門嚢腺癌は、リンパ節転移を起こすことがあるので、レントゲン検査や超音波検査をしっかりと行います。
手術、放射線治療、抗がん剤、分子標的薬を組み合わせて治療を行います。
骨肉腫
大型犬に発生の多い、骨のがんです。
治りにくい跛行は、骨肉腫の可能性があります。
痛みが強いので、患部を取り除く手術が必要です。
手術後に抗がん剤治療を行うと、余命の延長ができます。
膀胱癌
血尿、頻回尿、治りにくい膀胱炎は膀胱癌の可能性があります。
超音波検査で腫瘍を見つけていきます。
病理組織検査やBRAF遺伝子変異検査で、正しい診断をします。
摘出手術や抗がん剤や消炎剤などを組み合わせて治療を行います。
肝臓腫瘍
血液検査の異常には、肝臓腫瘍が関係していることがあります。
肝臓腫瘍の多くは無症状で、発見が遅れてしまうことがあります。
適切な手術を行うことで、長期生存が見込めます。
当院では定期的な肝臓の超音波検査を行うことで、早期発見に努めています。
-
手術前(肝臓腫瘍で腹部が張っている) -
摘出した大型の肝臓腫瘍 -
手術後(腹部が正常になる)
その他のがん
当院では、犬猫に発生する全ての「がん」に対応しています。
放射線治療など特別な治療が必要となった場合には、大学病院や高度医療機関をご紹介してます。
しかし、高度医療を行う動物病院の一部では、治療費が高額になるので、そこが悩みどころです。
当院で出来る事もたくさんあるので、一度ご相談ください。
















0558-76-8111
